Nasibai
Herkunftsland / Region: Tadschikistan / Provinz DYU
Geburtsdatum: 17.03.1993
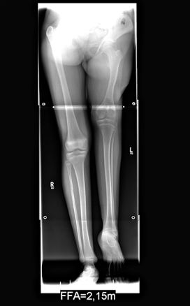
Diagnose: Beinverkürzung links durch einen 21 cm zu kurzen Oberschenkelknochen bei einer Gesamtkörpergröße von 172 cm
Unfallursache: Knochenvereiterung als Kleinkind
Therapie: Verlängerung des linken Oberschenkelknochens mittels Distraktionsverfahren nach Ilisarow um 18 cm Anpassende Verkürzung des rechten Oberschenkelknochens um 3cm
Behandlungszeitraum: 01.02.2005-11.09.2006
Behandlungsdauer: 1 Jahr, 10 Monate, 10 Tage



